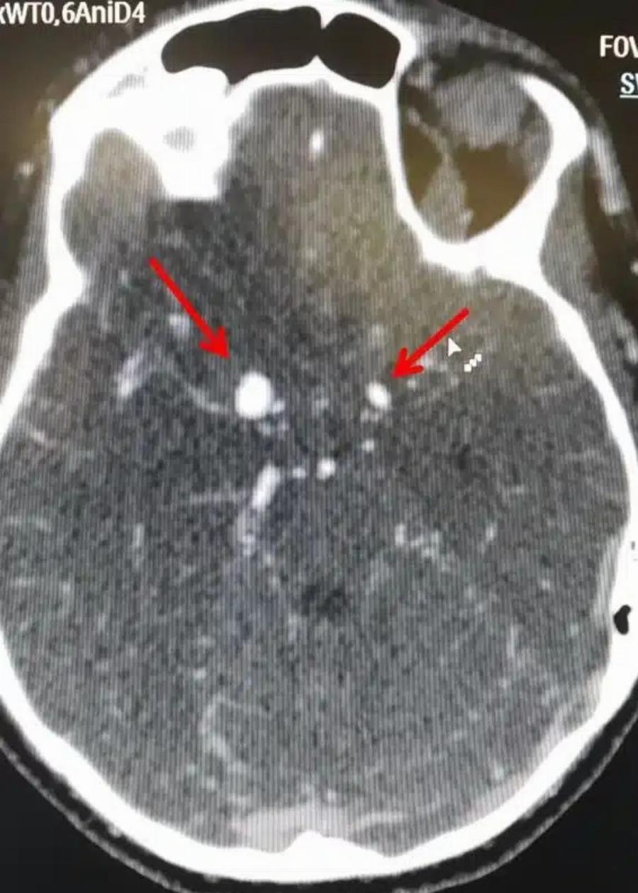
Ανεύρυσμα: Σημάδια που δεν πρέπει να αγνοήσεις

by Ioanna Themistocleous
Ανεύρυσμα: Σημάδια που δεν πρέπει να αγνοήσεις

Ένα ανεύρυσμα εγκεφάλου είναι ένα εξόγκωμα ή διόγκωση σε ένα αιμοφόρο αγγείο στον εγκέφαλο.

Το ανεύρυσμα εγεκφάλου μπορεί να παρουσιάσει διαρροή ή ρήξη, προκαλώντας αιμορραγία στον εγκέφαλο (αιμορραγικό εγκεφαλικό επεισόδιο). Πιο συχνά μια ρήξη ανευρύσματος εγκεφάλου εμφανίζεται στο χώρο μεταξύ του εγκεφάλου και των λεπτών ιστών που καλύπτουν τον εγκέφαλο. Αυτό το είδος αιμορραγικού εγκεφαλικού επεισοδίου ονομάζεται “υπαραχνοειδής αιμορραγία”.

Η ρήξη ανευρύσματος είναι άμεσα απειλητική για τη ζωή του ατόμου και απαιτεί κατεπείγουσα ιατρική θεραπεία.

Ανεύρυσμα: Σημάδια που δεν πρέπει να αγνοήσεις

Ανεύρυσμα εγκεφάλου: Συμπτώματα

Ρήξη ανευρύσματος

Μια ξαφνική, πολύ έντονη κεφαλαλγία (πονοκέφαλος) είναι το βασικό σύμπτωμα μιας ρήξης ανευρύσματος. Αυτή η κεφαλαλγία συχνά περιγράφεται από πολλούς ασθενείς ως “ο χειρότερος πονοκέφαλος που είχαν ποτέ”.

Τα πιο συνήθη συμπτώματα μιας ρήξης ανευρύσματος περιλαμβάνουν:

Αιφνίδια, εξαιρετικά σοβαρή κεφαλαλγία
Ναυτία και έμετο
“Πιάσιμο” στον λαιμό
Θολή ή διπλή όραση
Ευαισθησία στο φως
Επιληπτική κρίση
Βλεφαρόπτωση
Απώλεια της συνείδησης
Σύγχυση
Ανεύρυσμα εγκεφάλου που έχει απλή διαρροή

Σε ορισμένες περιπτώσεις, ένα ανεύρυσμα μπορεί να αρχίσει να διαρρέει μόνο μία μικρή ποσότητα αίματος. Αυτή η διαρροή μπορεί να προκαλέσει:

Αιφνίδια, εξαιρετικά σοβαρή κεφαλαλγία

Μια πιο σοβαρή ρήξη ακολουθεί σχεδόν πάντα την απλή διαρροή

Ανεύρυσμα εγκεφάλου που δεν έχει διαρραγεί (σπάσει) ακόμα
Ένα ανεύρυσμα εγκεφάλου που δεν έχει σπάσει μπορεί να μην προκαλέσει κανένα σύμπτωμα, ιδιαίτερα αν είναι μικρό. Ωστόσο, ένα μεγάλο ανεύρυσμα μπορεί να πιέζει τους παρακείμενους ιστούς του εγκεφάλου και τα νεύρα, προκαλώντας ενδεχομένως:

Πόνο πάνω και πίσω από το ένα μάτι
Η κόρη του ματιού μεγαλώνει
Αλλαγές στην όραση ή διπλωπία (διπλή όραση)
Μούδιασμα, αδυναμία ή παράλυση της μιας πλευράς του προσώπου
Βλεφαρόπτωση

***Το ανεύρυσμα εγκεφάλου δημιουργείται σε μια αρτηρία του, λόγω αδυναμίας σε μια περιοχή του τοιχώματος της. Μπορεί να υπάρχει σε όλες τις ηλικίες, αλλά είναι πολύ συχνότερο σε ηλικιωμένους.
Το μέγεθος και η ανατομική θέση στην οποία αναπτύχθηκε το ανεύρυσμα έχουν καθοριστικό ρόλο για την πρόγνωση του ασθενούς. Επίσης για την πρόγνωση παίζει ρόλο η ηλικία του ασθενούς και η γενική κατάσταση της υγείας του.

Η φθορά που υφίσταται διαχρονικά μια αρτηρία είναι από τις κυριότερες αιτίες; που οδηγούν στον αθόρυβο, δηλαδή χωρίς κλινικά σημεία, σχηματικό ανευρυσμάτων στον εγκέφαλο. Κάποτε ένας τραυματισμός, μια μόλυνση ή μια γενετική προδιάθεση ευθύνονται για την πρόκληση ανευρύσματος.

Υπάρχουν δύο μορφές εγκεφαλικών ανευρυσμάτων, το σακοειδές και το ατρακτοειδές ανεύρυσμα.
Η συχνότερη μορφή που μπορεί να πάρει ένα ανεύρυσμα είναι η ασκοειδής ή σακοειδής, δηλαδή σχηματίζεται στο αδύνατο σημείο της αρτηρίας ένας σάκος με μίσχο που τον ενώνει με την υπόλοιπη αρτηρία. Φαίνεται σαν ένα μούρο που προβάλλει από μια αρτηρία. Συνήθως αναπτύσσεται σε περιοχές διχασμού αγγείων.

Ανεύρυσμα: Σημάδια που δεν πρέπει να αγνοήσεις

Εκτιμάται ότι 3,5% έως 6% του γενικού πληθυσμού έχουν σακοειδές ανεύρυσμα. Στο 15% έως 30% των περιπτώσεων αυτών, υπάρχουν περισσότερα από ένα σακοειδή ανευρύσματα.

Πιο σπάνια το ανεύρυσμα αρτηρίας του εγκεφάλου μπορεί να πάρει μια στενόμακρη μορφή που περιλαμβάνει όλο το τοίχωμα της αρτηρίας και από τις δύο μεριές (ατρακτοειδής μορφή).

«Δεν είχαν καταχωρηθεί ως πελάτες»: Οι αρχές βρήκαν τι συνέβη λίγα λεπτά πριν το θάνατο της 19χρονης Μυρτούς στην Κεφαλονιά

Η τραγική ειρωνεία πίσω από τον θάνατο της 19χρονης Μυρτούς – Συγκλονιστική αποκάλυψη

Κεφαλονιά – Θάνατος Μυρτώς: Το μυστικό του θανάτου της “κρύβεται” στο ξενοδοχείο – Το μήνυμα της ντροπής και τα τελευταία λόγια στη μητέρα της

Κεφαλονιά – Θάνατος Μυρτούς: Η ιατροδικαστική “μίλησε” – Δεν είναι αυτό που πίστευαν όλοι! – Αυτή είναι η αιτία θανάτου

Σπιτικό ψωμί, μια συνταγή 100 ετών· δεν θα ξανααγοράσετε ποτέ ψωμί!

Προτεινόμενα