Ellie Jones: Το κορίτσι με το παραμορφωμένο πρόσωπο – Έκανε εγχείρηση και σήμερα την ζηλεύουν

Ellie Jones: Το κορίτσι με το παραμορφωμένο πρόσωπο – Έκανε εγχείρηση και σήμερα την ζηλεύουν

Ellie Jones: Η εμφάνιση της άλλαξε ολοκληρωτικά και είναι μία εντυπωσιακή νεαρή

Την δική της «εκδίκηση» πήρε η νεαρή Ellie Jones, η οποία αυτή τη στιγμή διανύει το 20ο έτος της ηλικίας της. Το νεαρό κορίτσι γεννήθηκε με συγγενική παραμόρφωση στο πρόσωπό της, αφού τα δόντια της δεν ήταν ευθυγραμμισμένα. Δυστυχώς όμως, αυτό δεν ήταν το μοναδικό της πρόβλημα, αφού σαγόνι της Ellie Jones δεν είχε μεγαλώσει από την ηλικία των 8 ετών.

Το αποτέλεσμα ήταν να δέχεται για το μεγαλύτερο χρονικό διάστημα της ζωής της πειράγματα. Πειράγματα και κοροϊδίες, οι οποίες ερχόντουσαν από άτομα της καθημερινότητας. Μάλιστα, οι συμμαθητές της την επηρέαζαν, καθώς τη χλεύαζαν για την εξωτερική εμφάνισή της. Αυτό είχε ως αποτέλεσμα, η ίδια, να έχει αυτοπεποίθηση σε ιδιαίτερα χαμηλά επίπεδα.

Η ίδια και ο οικογενειακός της περίγυρος αποφάσισαν να μη μείνουν με σταυρωμένα χέρια. Θέλησαν να προχωρήσουν σε μία χειρουργική επέμβαση. Μέσω αυτής της επέμβασης επιδιώκονταν να διορθωθούν όσα ενοχλούσαν την Ellie Jones, τα οποία κρατούσαν και την ψυχολογία της στο ναδίρ.

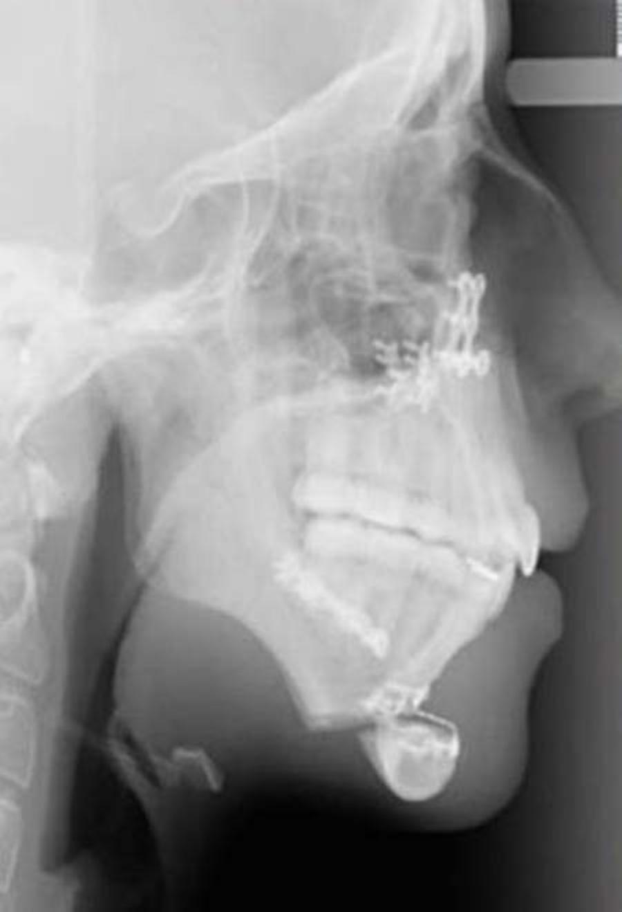
Η οικογένεια επισκέφθηκε έναν γναθοχειρουργό, ο οποίος βοήθησε στη μεταμόρφωση της Ellie Jones. Το πρώτη χειρουργείο προκάλεσε πολύ πόνο στην 20χρονη. Ήταν ιδιαίτερα δύσκολο σαν χειρουργείο και στο τέλος του έπρεπε να κάνει σωστή διατροφή. Αυτή εμπεριείχε μόνο υγρά για χρονικό διάστημα ενός μηνός, ενώ στο ξεκίνημα δεν μπορούσε να μιλήσει.

Στο χειρουργείο, που ακολούθησε, το οποίο ήταν δεύτερο κατά σειρά μπόρεσε να διορθώσει το πηγούνι της. Έτσι, μπόρεσε να μεταμορφωθεί και να φτιάξει παράλληλα και την ψυχολογία της.

«Η χειρουργική επέμβαση δεν έχει αλλάξει μόνο τον τρόπο που κοιτάζουν την Ellie, αλλά και τον τρόπο που η ίδια βλέπει τον εαυτό της. Η αυτοπεποίθηση της έχει αυξηθεί και η ίδια έχει εξελιχθεί σε μια όμορφη νεαρή κοπέλα».

Εικόνες του κοριτσιού πριν και μετά

Ellie Jones: Το κορίτσι με το παραμορφωμένο πρόσωπο – Έκανε εγχείρηση και σήμερα την ζηλεύουν

Ellie Jones: Το κορίτσι με το παραμορφωμένο πρόσωπο – Έκανε εγχείρηση και σήμερα την ζηλεύουν

Ellie Jones: Το κορίτσι με το παραμορφωμένο πρόσωπο – Έκανε εγχείρηση και σήμερα την ζηλεύουν

Ellie Jones: Το κορίτσι με το παραμορφωμένο πρόσωπο – Έκανε εγχείρηση και σήμερα την ζηλεύουν

Ellie Jones: Το κορίτσι με το παραμορφωμένο πρόσωπο – Έκανε εγχείρηση και σήμερα την ζηλεύουν

Ellie Jones: Το κορίτσι με το παραμορφωμένο πρόσωπο – Έκανε εγχείρηση και σήμερα την ζηλεύουν

Συντετριμμένη η Ράνια Τζίμα με τον θάνατο του 13χρονου στο δελτίο ειδήσεων – Είπε για τα πατίνια στην Ελλάδα την πιο τραγική αλήθεια που κανείς δεν τολμάει

Μαθεύτηκε ποιος έκανε δώρο το πατίνι – Θρήνος για τον 13χρονο Κωνσταντίνο που σκοτώθηκε τόσο νωρίς

Μετά τον Νικόλα Φαραντούρη: Οι 4 νέες δυνατές μεταγραφές του ΠΑΣΟΚ με σφραγίδα Ανδρουλάκη

Αλμυρό κέικ με πατάτες και λαχανικά: Εύκολο, χορταστικό και πεντανόστιμο

Η πιο εύκολη σπανακόπιτα χωρίς φύλλο

Προτεινόμενα